Cardiac CT
Home 5 CT Services 5 Cardiac CT

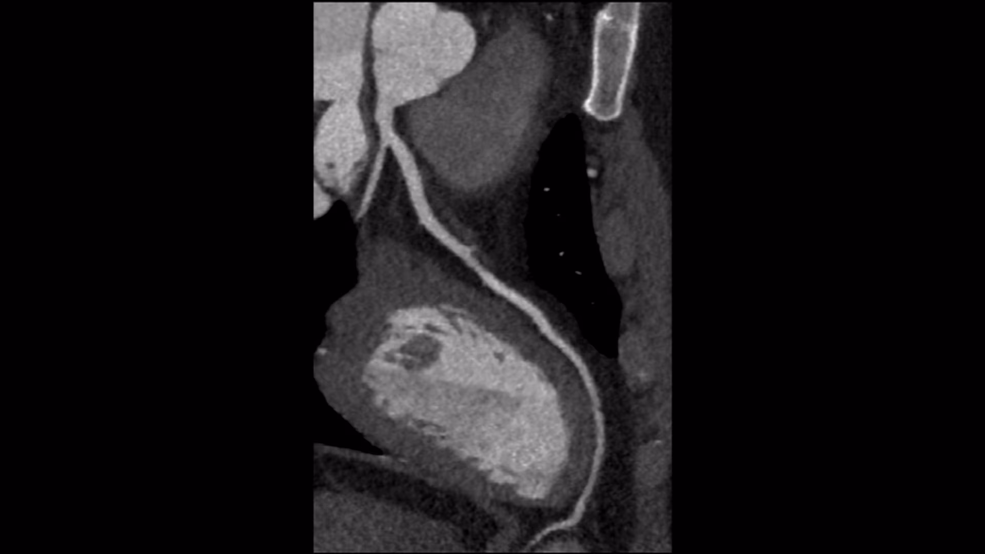
Cardiac CT

Discover the power of precise heart imaging with our Cardiac CT services, featuring the advanced Revolution Maxima CT. Designed with your comfort and care in mind, this state-of-the-art technology provides fast, accurate insights into your heart health, helping you and your doctor make informed decisions.

Why Choose Cardiac CT with Revolution Maxima?

Our Cardiac CT uses the Revolution Maxima CT to deliver high-quality images of your heart and blood vessels in just minutes. This non-invasive scan helps detect heart conditions early, offering you peace of mind and a clear path to better health. With its speed and precision, the Revolution Maxima ensures reliable results with minimal discomfort.

What to Expect

Your Cardiac CT experience is designed to be simple and stress-free:

  • Quick and Comfortable: The scan takes only a few minutes, with a comfortable setup to keep you at ease.

  • Safe and Non-Invasive: No needles or surgery—just advanced imaging for accurate results.

  • Fast Results: Our streamlined process means your doctor gets detailed images quickly to guide your care.

Benefits for You

  • Early Detection: Identify heart issues before they become serious.

  • Personalized Care: Clear images help your doctor tailor a treatment plan just for you.

  • Trusted Technology: The Revolution Maxima CT is engineered for precision, giving you confidence in your results.

Take the Next Step

Your heart health matters. A Cardiac CT with Revolution Maxima CT can provide the clarity you need to stay healthy. Talk to your doctor about whether a Cardiac CT is right for you or contact us to learn more and schedule your appointment today!

Address

4724 Airport Boulevard
Mobile, AL 36608

Phone

251-263-7600

Office Hours

Monday - Friday
8:00 AM to 5:00 PM

Schedule Appointment

To book a preventative CT scan, contact your healthcare provider or our imaging center for scheduling instructions.

TAKE CHARGE OF YOUR HEALTH TODAY!

Empower yourself with proactive care. Schedule your health screening now and gain peace of mind with our advanced radiology services. Early detection saves lives—act today!